会厌处拆除“定时炸弹”—纤支镜引导下为新生儿清醒插管
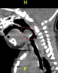
近日,我院收治了一名会厌囊肿的新生儿。患儿出生两天因呼吸困难转入我院,CT显示在会厌上方有一个23×17×11mm的囊性区,这就好比是一颗悬在气管入口的“定时炸弹”,随时威胁患儿的生命安全。
据了解,会厌位于气管入口的前上方,由会厌软骨和黏膜组成。专家介绍,会厌的功能十分重要。呼吸时,会厌向上抬起使气道开放;吞咽时,会厌落下盖住喉口防止异物进入气管。正常的会厌对于保持呼吸道的通畅至关重要,若是会厌发生病变,比如会厌囊肿,那就可能影响正常呼吸,甚至有发生窒息的风险。
这个大的囊肿就是患儿呼吸困难的原因所在。病因诊断明确,下一步就是手术切除,手术方案定了,接下来要先过麻醉这一关。
手术部位在口咽部,气管插管全身麻醉是唯一选择,但是面对这么小的患儿,如何麻醉、怎样气管插管,却成了一大难题。
经过医生的详细检查后发现,该患儿的会厌囊肿实在太大,占据了大半的口腔和咽腔,困难气道无疑,患儿几乎无法平躺,侧卧或者俯卧才能缓解缺氧。常规的麻醉用药方案有可能会造成无法通气无法插管的紧急状况,那么如何气管插管,是摆在麻醉医生面前第一要解决的难题。
麻醉医生经过详尽的术前讨论,决定在表面麻醉下,通过纤支镜引导,清醒气管插管。但儿童清醒插管谈何容易?
眼前的这个新生儿,3.46公斤、会厌囊肿、困难气道、纤支镜引导清醒插管……每一项单拿出来对麻醉医生都是不小的考验,何况是这几项叠加在一起,难度和风险成倍增加,稍有不慎,就有可能危及患儿生命。好在麻醉手术部有一支专业的医护团队,最终在医护人员的密切配合下,通过纤支镜引导,成功为患儿插入气管导管,随后耳鼻喉科医生也顺利切除了这颗“定时炸弹”。
图片可能引起不适,请谨慎观看









