“折翼”的天使——胎儿单侧肾缺如
想起两年前一个令人痛心的事件,一位宝妈高高兴兴地来医院产检,没想到超声提示:胎儿一侧肾脏未显示,高度怀疑一侧肾缺如。本来满怀期待的宝妈一下陷入了两难,要还是不要?后来得知,这位宝妈放弃了这个不完美的宝宝。
那当我们面对这样的单纯性一侧肾脏缺如的宝宝,该怎么选择呢?
单侧肾缺如,没有合并其他畸形,大多数跟正常人是一样的,完全不影响正常的生活质量,预期寿命亦不受影响。
什么是肾缺如呢?
肾缺如又称肾不发育。一侧或双侧肾组织或输尿管芽因生长的紊乱不能发育,从而导致一侧或双侧肾缺如。单侧肾缺如在活产儿中发生率约为1/1000-1/2000。肾缺如为散发性,但也可为常染色体隐性、显性及X连锁遗传病。
引起肾缺如的原因有哪些?
单侧肾发病的主要阶段在于胚胎时期,病情比较复杂。可能有外界因素的影响,比如怀孕期间受到的外界有害因素的感染、刺激。也有可能是内在因素,比如一侧肾脏的血管出现了反应异常,导致肾脏萎缩,没有正常的发育。
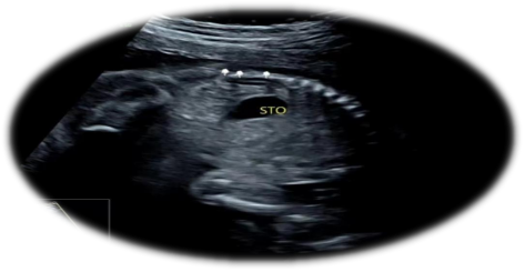
单侧肾缺如的超声表现:
1.一侧肾脏未探及
2.肾上腺平卧征
3.彩色多普勒超声显示缺如侧肾动脉亦缺如。
超声科医生在诊断单侧肾缺如时都非常谨慎,需要非常仔细地检查腹腔内尤其是盆腔内有无异位肾存在,才高度怀疑单侧肾缺如。
希望有被这个问题困扰的宝妈们,给折翼的不完美的宝宝们体验一次完美人生之旅的机会。
专家简介
张现梅,临沂市妇幼保健院超声诊断科主任,副主任医师,2004年参加工作至今,一直从事超声诊断工作。
主要擅长胎儿系统超声检查、胎儿心脏超声检查、常规产前超声检查、妇科超声检查等。2018年3月,被评为“2017年度临沂市巾帼建功标兵”。2018年8月,被评选为临沂市“优秀医务工作者”。
社会兼职:亚太卫生健康协会儿科医学分会重症超声医学专业委员会委员、中国妇幼保健协会委员、山东省医师协会超声医师分会委员、山东省超声医学工程学会理事、临沂市妇幼保健协会影像委员会副主委、临沂市医院协会委员。






